治療・講演実績
2026/01/07インプラントは老後が悲惨なの?
岐阜市にある、あかなべ歯科です。
インプラントは老後に悲惨なことになる、と聞いたことはありますか?
インプラントを検討されている方はネットなどで目にしたことがある方もいるのではないでしょうか?
そこで今回は老後がなぜ悲惨になると言われているのか詳しくお話ししていきたいと思います。
▪️老後が悲惨と言われている理由
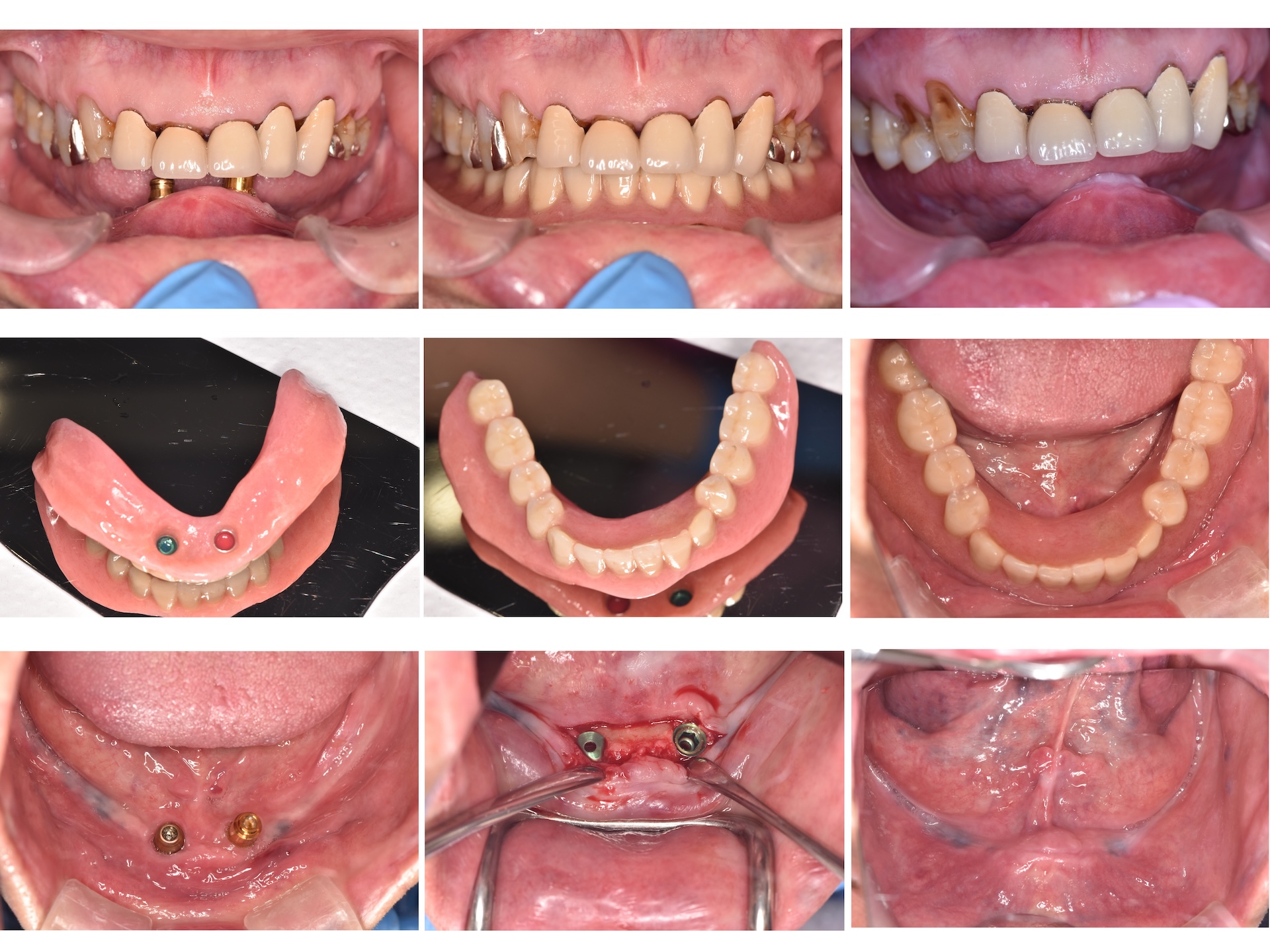
・老後のメンテナンスが困難
インプラントは治療して終わりではなく、日々の適切なケアや定期メンテナンスが必要になります。
しかし、年齢を重ねるごとにこれらのメンテナンスが難しくなるかもしれません。
例えば介護が必要な状態になってしまったり、認知症になってしまえば日々のケアや歯科医院に通うことは困難になります。
もしケアやメンテナンスを怠るとインプラント周囲炎など様々なトラブルの引き金になってしまうので悲惨と言われているのでしょう。
ですがこれはインプラントに限ったことではなく、ケアや定期検診を行えなくなればインプラントに関わらず様々な口腔内トラブルのリスクは高まります。
・インプラント周囲炎の発症リスク
インプラント周囲炎は、歯周病菌が原因で骨に埋め込んだインプラントの周囲の歯茎や骨に起こる炎症で、インプラント版の歯周病とも言われています。
放置してしまうと進行を続けて最悪の場合、顎の骨を溶かしインプラントが抜け落ちることになります。
インプラント周囲炎の怖いところは天然の歯に起こる歯周病よりも進行が早く骨吸収が起こりやすいことです。
これを防ぐためにも日々のケアと定期メンテナンスが重要になる訳ですが、インプラント周囲炎は年齢問わず発症リスクがありますが、高齢になるとこのリスクが高まることが分かっています。
・インプラント体と骨の定着が不安定になりやすい
インプラント手術には顎の骨の厚さや強度が必要になります。
しかし、年齢を重ねるにつれて骨密度は低下しやすくなりインプラントが不安定になる可能性があります。
そしてインプラントを長年使用し続けることで摩耗したり、顎の骨の自然な吸収も起こりインプラントが不安定になることもあります。
不安定になると噛む力が低下し食事に支障が出たり、違和感や痛みなども現れます。
・再治療が難しい
インプラント周囲炎や骨の吸収といった何らかのトラブルでインプラントが不安定になると再治療が必要になるケースがあります。
再治療は通常のインプラントと同様に再度手術が必要になりますが、高齢になると術後の回復は遅くなり、細菌感染や合併症のリスクも高まると分かっています。
そのため再治療が難しくなるケースは少なくありません。
▪️ではインプラントは諦めるべき?
老後に起こるデメリットばかりお話ししてきましたが、必ず悲惨な状態になる訳ではありません。
そして大きなメリットがあることも事実です。
インプラントを選択する方はどんどん増えており、デメリット以上にメリットの方が大きいと考える方は多いようです。
メリットも見ていきましょう。
・脱着が必要ない
脱着についてはブリッジもそうですが、インプラントの場合は顎の骨に直接人工歯根を埋め込んでいるため入れ歯のように取ったり、付けたりする必要がありません。
入れ歯は毎日の脱着やケアに手間がかかります。
そして、インプラント同様に介護が必要になったり認知症になるとケアが困難になる可能性があります。

・ご自身の天然の歯のような見た目が実現できる
インプラントは本物の歯のような美しい見た目を実現できるので、前歯などの目立つ位置の場合は人目を気にする必要がなく、コンプレックスを抱くこともありません。
・食事を楽しむことができる。
インプラントは見た目の美しさだけでなく、機能面も優れています。
骨に直接埋め込んでいるインプラントは元々あった歯のようにしっかり噛むことができます。
食事は老後の楽しみの一つと考える方は非常に多く、しっかり噛むことができるというメリットはとても大きいと考えている方は多いようです。

・認知症予防
インプラントは認知症の予防に効果があると言われ、歯の欠損と認知症には大きな繋がりがあるとされています。
しっかり噛めないことで脳への刺激不足が起こったり、噛めないことで食事に偏りが起こります。
そして見た目を気にして社会的活動への参加が減る方もおり、これらの影響で認知症のリスクが高まると言われています。
歯を失わないことが一番重要ですが、欠損してしまった場合の治療はインプラントが機能性も審美性も優れ、脳への刺激や食事の偏りがなく、人目を気にせず外出外できる点からも認知症の予防に繋がると言われています。
・まとめ
老後が悲惨と言われてはいますが、老後のメリットもあることは事実です。
絶対にインプラントが良いと言うつもりはありませんが、どんな治療を選んでも日々のケアと定期メンテナンスや定期検診が必要になります。
インプラント以外の治療であれば必ず老後に悲惨な状態にはならないと言う訳でもありません。
どんな治療にもメリットとデメリットがあるのでしっかり理解し、ご自身に一番あった治療を歯科医師と決めるようにしましょう。

