24時間ネット予約
058-271-7781
診療日 月・火・木・金・土
受付時間 9:30-12:30/14:00-17:30
完全予約制
24時間ネット予約
058-271-7781
診療日 月・火・木・金・土
受付時間 9:30-12:30/14:00-17:30
完全予約制
院長紹介
マイクロエンド・精密根管治療・セカンドオピニオン
マイクロエンド・精密根管治療実績
根管治療でお困りの先生方へ
インプラント治療
インプラント実績
小児歯科・小児矯正
小児歯科・小児矯正実績
ホワイトニング・デンタルエステ
ホワイトニング実績
セラミック治療
セラミック実績
マウスピース矯正
アクセス・医院案内
採用情報
ブログ
院長紹介
マイクロエンド・精密根管治療・セカンドオピニオン
マイクロエンド・精密根管治療実績
根管治療でお困りの先生方へ
インプラント治療
インプラント実績
小児歯科・小児矯正
小児歯科・小児矯正実績
ホワイトニング・デンタルエステ
ホワイトニング実績
セラミック治療
セラミック実績
マウスピース矯正
アクセス・医院案内
採用情報
ブログ
治療・講演実績
2025/05/08
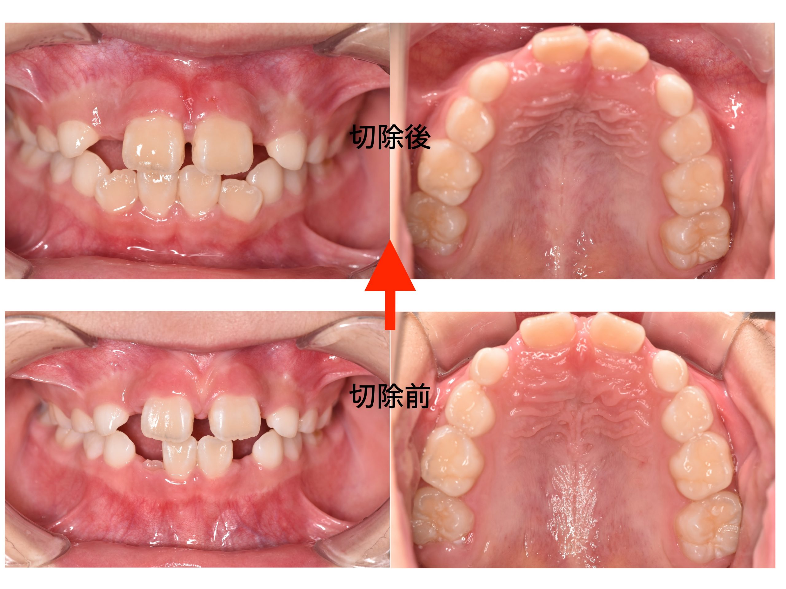
上唇小帯_切除_あかなべ歯科
2026年1月
月
火
水
木
金
土
日
1
2
3
4
5
6
7
8
9
10
11
12
13
14
15
16
17
18
19
20
21
22
23
24
25
26
27
28
29
30
31
« 12月
最近の投稿
インプラントは老後が悲惨なの?
インプラント手術ができないケースは?
歯の黒い点があるけどこれってむし歯?
虫歯じゃないのに歯が痛むこともある?
セラミック治療は絶対ダメ?
診療日
2022年9月より午後の受付時間を14:00~17:00に変更いたしました。労働基準法などの法令遵守のため、ご理解をお願いいたします。
受付時間
月
火
水
木
金
土
日
9:30~12:30
○
○
-
○
○
○
-
14:00~17:00
○
○
-
○
○
○
-