24時間ネット予約
058-271-7781
診療日 月・火・木・金・土
受付時間 9:30-12:30/14:00-17:30
完全予約制
24時間ネット予約
058-271-7781
診療日 月・火・木・金・土
受付時間 9:30-12:30/14:00-17:30
完全予約制
院長紹介
マイクロエンド・精密根管治療・セカンドオピニオン
マイクロエンド・精密根管治療実績
根管治療でお困りの先生方へ
インプラント治療
インプラント実績
小児歯科・小児矯正
小児歯科・小児矯正実績
ホワイトニング・デンタルエステ
ホワイトニング実績
セラミック治療
セラミック実績
マウスピース矯正
アクセス・医院案内
採用情報
ブログ
院長紹介
マイクロエンド・精密根管治療・セカンドオピニオン
マイクロエンド・精密根管治療実績
根管治療でお困りの先生方へ
インプラント治療
インプラント実績
小児歯科・小児矯正
小児歯科・小児矯正実績
ホワイトニング・デンタルエステ
ホワイトニング実績
セラミック治療
セラミック実績
マウスピース矯正
アクセス・医院案内
採用情報
ブログ
治療・講演実績
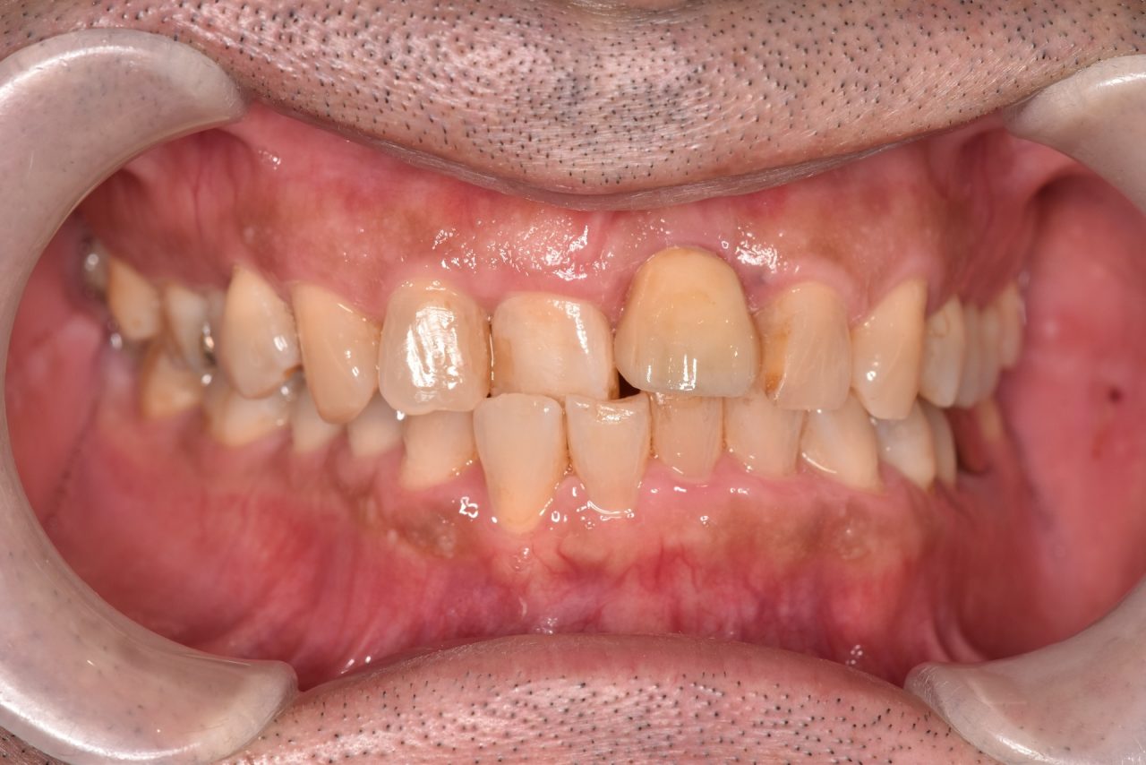
2025/07/10
あかなべ歯科_前歯部インプラント
2026年2月
月
火
水
木
金
土
日
1
2
3
4
5
6
7
8
9
10
11
12
13
14
15
16
17
18
19
20
21
22
23
24
25
26
27
28
« 1月
最近の投稿
季節で変わる歯周病の症状と原因
インプラントは老後が悲惨なの?
インプラント手術ができないケースは?
歯の黒い点があるけどこれってむし歯?
虫歯じゃないのに歯が痛むこともある?
診療日
2022年9月より午後の受付時間を14:00~17:00に変更いたしました。労働基準法などの法令遵守のため、ご理解をお願いいたします。
受付時間
月
火
水
木
金
土
日
9:30~12:30
○
○
-
○
○
○
-
14:00~17:00
○
○
-
○
○
○
-